Smile Gallery – On Track Dental
Skip to content

On Track Dental – Port Coquitlam General Dentistry, Orthodontics, Implants & Sedation

  • 2203 - 2850 Shaughnessy St, Port Coquitlam
  • 604-552-9700
  • reception@ontrackdental.ca
  • Home
  • Meet The Doctors
  • Our Services
    • Dental Implants
    • Veneers, Crowns & Bridges
    • Smile Makeover
    • Sedation Dentistry
    • Composite
    • Orthodontics with Invisalign
    • Guided Biofilm Therapy
    • Periodontal Surgeries
    • Root Canals
    • Replacement For Missing Teeth
  • Appointments
    • New Patients
  • Smile Gallery
  • About
    • In The Community
    • Financial Policies
    • Canadian Dental Care Plan – CDCP
  • Contact

Smile Gallery

Allograft surgery for root coverage Before After
Allograft surgery for root coverage.
Esthetic crown lengthening and veneers Before After
Esthetic crown lengthening and veneers.
Esthetic crown lengthening Before After
Esthetic crown lengthening.
Full mouth reconstruction Before After
Full mouth reconstruction.
Full mouth reconstruction with crowns and partial dentures Before After
Full mouth reconstruction with crowns and partial dentures.
Before After
Full mouth reconstruction, with a case of erosion.
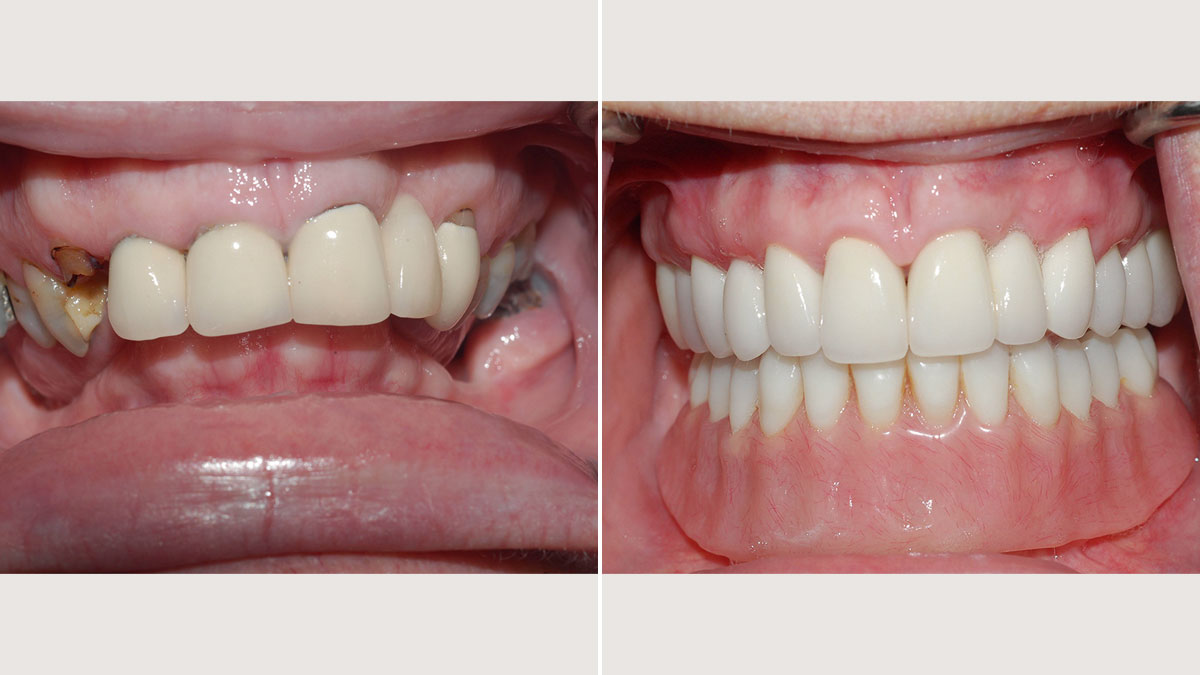
Upper crowns and lower bar and overdenture supported by implants Before After
Upper crowns and lower bar and overdenture supported by implants.
Extraction of fractured and failed root canal treated tooth, followed by three splinted implants restored with splinted crowns Before After
Extraction of fractured and failed root canal treated tooth, followed by three splinted implants restored with splinted crowns.
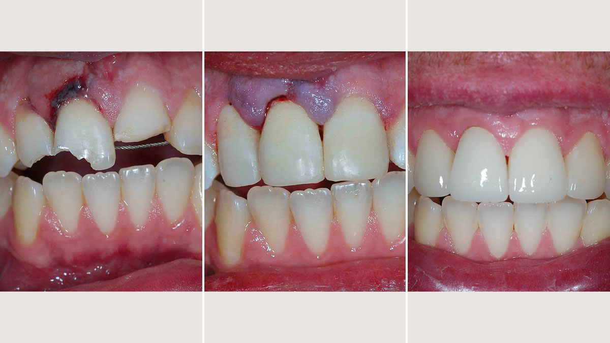
Lateral incisor replaced by implant supported crown and new crown on central incisor Before After
Lateral incisor replaced by implant supported crown and new crown on central incisor.
Chipped teeth and retained baby tooth in cuspid position, treated with implant supported crown and veneers Before After
Chipped teeth and retained baby tooth in cuspid position, treated with implant supported crown and veneers.
Initial Emergency Composite restorations, with final restorations completed with Emax crowns Before After
Initial Emergency Composite restorations, with final restorations completed with Emax crowns.
Initial emergency composites followed by implant supported crown and veneers Before After
Initial emergency composites followed by implant supported crown and veneers.
Before After
Trauma from hockey stick, restored with implant supported crowns.
Veneers Before After
Veneers.
veneers Before After
Veneers.
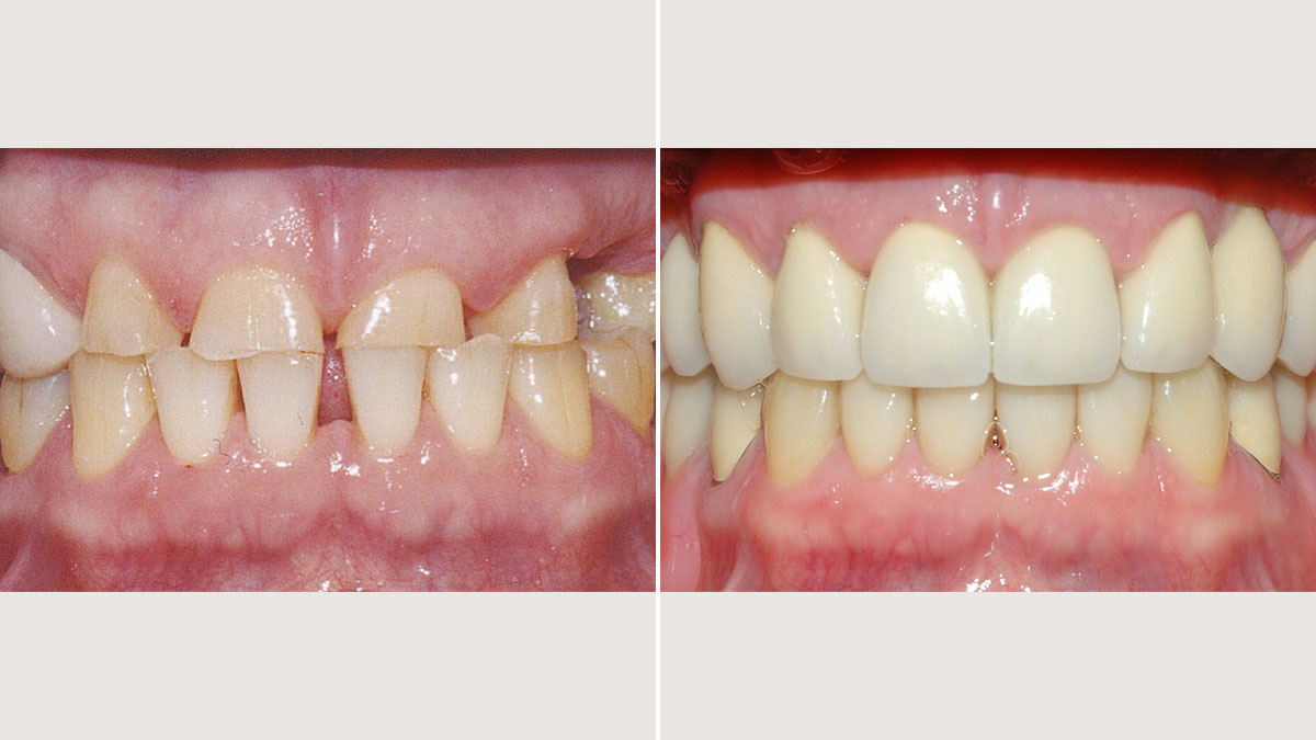
Crown lengthening and veneers Before After
Crown lengthening and veneers.

Ready to make an appointment?
Book Online

On Track Dental

  • 2203 - 2850 Shaughnessy St
    Port Coquitlam, BC V3C 6K5
  • 604-552-9700
  • reception@ontrackdental.ca
American Board of Oral Implantology Kois Center Graduate

Clinic Hours

Clinic Hours
Monday 11:00 AM– 7:00 PM
Tuesday 11:00 AM– 7:00 PM
Wednesday 10:00 AM– 6:00 PM
Thursday 9:00 AM– 5:00 PM
Friday 8:00 AM– 4:00 PM
Saturday Closed
Sunday Closed

© 2026 On Track Dental (Dr. Darren Zomar Incorporate) – Port Coquitlam General Dentistry, Orthodontics, Implants & SedationPrivacy Policy
Site by Glacier Media Digital